TẠO HÌNH LỢI
Tạo hình lợi (nướu) là phương pháp phẫu thuật tạo hình được xem là phương pháp tốt nhất giúp khắc phục tình trạng cười hở lợi hay tụt nướu răng. Phương pháp này giúp hoàn thiện nụ cười và mang đến sự tự tin hơn cho mọi người.

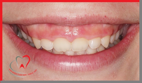
Người bị cười hở lợi
Một số nguyên nhân của cười hở lợi
1. Cười hở lợi do xương hàm:
- Xương ổ răng quá dày, phần lợi bị gồ lên, thậm chí có thể nhìn thấy phần xương ổ trắng mờ mờ dưới lợi. Khi nhìn nghiêng, có thể nhận thấy phần lợi nhô ra phía trước mất cân đối, cười gây hở lợi thiếu thẩm mỹ.
- Vòm xương hàm phát triển quá mạnh, sai khớp cắn răng đưa ra ngoài nhiều.
2. Cười hở lợi do răng:
- Nếu chiều cao của răng quá ngắn sẽ tạo ra sự không tương xứng giữa chiều cao răng với lợi. Cho nên khi cười, môi kéo lên, dù cơ nâng môi hoàn toàn bình thường thì lợi vẫn bị hở ra khá nhiều.
3. Cười hở lợi do môi gây ra:
Khi trường lực co vòng môi quá lớn sẽ làm cho môi bị nâng kéo theo chiều lên cao hơn bình thường làm lộ chiều lợi dù tỷ lệ lợi và răng hoàn toàn cân đối.
4. Cười hở lợi do nướu:
- Lợi phát triển mạnh bẩm sinh khiến cho lợi dài và dày nên cười dễ bị lộ.
- Lợi phì đại do sang chấn từ các bệnh lý như viêm lợi,…
- Lợi bám thấp, chiếm quá nhiều chiều cao thân răng tính từ gốc răng.

Cười hở lợi làm mất thẩm mỹ khuôn mặt
Một số phương pháp tạo hình lợi
- Phẫu thuật nâng cơ môi hoặc làm dài môi: Khi đó, cơ môi sẽ được điều chỉnh để làm giảm lực kéo khi cười, môi sẽ không bị kéo quá nhiều. Hoặc bác sĩ sẽ tạo hình làm kích thước môi dài hơn với những trường hợp môi quá ngắn, giúp hết hở lợi khi cười.
- Phẫu thuật cắt nướu: Trong trường hợp nếu do lợi quá phát triển, đồng thời thân răng ngắn thì bác sĩ có thể chỉ định cắt viền nướu kết hợp làm dài thân răng. Như vậy, răng vừa được cải thiện đẹp hơn về kích cỡ mà lại chữa cười hở lợi hiệu quả. Phương pháp này chỉ được coi là một cuộc tiểu phẫu, diễn ra nhẹ nhàng và nhanh chóng. Thời gian phục hồi cũng chỉ mất khoảng 2, 3 ngày là trở lại bình thường.
- Mài xương ổ răng: Phần viền và mặt ngoài của xương ổ răng (nằm dưới nướu) được mài gọn để đạt tính thẩm mỹ cao, giúp bệnh nhân không còn bị cười hở lợi và hô nướu.
- Phẫu thuật xương hàm: Phương pháp này áp dụng cho những trường hợp cả lợi và xương ổ răng phát triển quá mức. Lúc này, cách tốt để hỗ trợ điều trị cười hở lợi là phương pháp phẫu thuật Lefort, được tiến hành bằng cách cắt tiền định hàm, đẩy hàm lùi vào trong và lên trên rồi cố định lại bằng vít titan. Hàm sau phẫu thuật sẽ cân xứng hơn, hết hô và khỏi cười hở lợi.

Phương pháp tạo hình lợi
Quy trình phẫu thuật tạo hình lợi tại Nha khoa Tuấn Vân
Quy trình phẫu thuật tạo hình nướu tại Nha khoa Tuấn Vân đảm bảo theo quy chuẩn quốc tế:
+ Bước 1: Thăm khám, chụp X quang
Trước khi tiến hành điều trị bất cứ trường hợp nào, bác sĩ cũng sẽ tiến hành chụp X-quang và kiểm tra tình trạng răng miệng hiện tại của khách hàng, nhằm đưa ra phác đồ điều trị phù hợp và mang lại hiệu quả cao nhất.
+ Bước 2: Tiến hành vệ sinh sát khuẩn, tiêm tê
Bác sĩ sẽ tiến hành vệ sinh răng miệng cho khách hàng, cũng như các dụng cụ y khoa để đảm bảo vô trùng hoàn toàn trong quá trình phẫu thuật tạo hình nướu. Đồng thời, để tránh tình trạng khách hàng cảm thấy ê buốt, đau nhức, khó chịu, bác sĩ sẽ tiến hành tiêm tê để khách hàng có thể cảm thấy thoải mái và an tâm nhất.
+ Bước 3: Tiến hành phẫu thuật tạo hình nướu
Dựa vào tình trạng hiện tại và phác đồ điều trị đã đưa ra trước đó, bác sĩ sẽ tiến hành phẫu thuật tạo hình nướu, giúp khôi phục lại tính thẩm mỹ một cách hoàn hảo nhất.
+ Bước 4: Kiểm tra kết quả
Sau khi phẫu thuật tạo hình nướu, ngoài khắc phục các bệnh răng miệng xảy ra trong quá trình tụt nướu, bác sĩ còn kiểm tra độ hài hòa, tính thẩm mỹ giữa nướu - răng nhằm đảm bảo mang lại nụ cười đẹp nhất, tự tin nhất cho khách hàng.
+ Bước 5: Hướng dẫn chăm sóc sau phẫu thuật
Bác sĩ sẽ tiến hành kiểm tra lại một lần nữa, đảm bảo vết mổ đã cầm máu, tình trạng sức khỏe khách hàng ổn định mới cho về nhà. Sau đó, bác sĩ sẽ hướng dẫn cách chăm sóc vết mổ tại nhà, kê đơn thuốc giảm đau, hẹn lịch tái khám,... khách hàng cần tuân thủ theo hướng dẫn để có thể đạt kết quả tốt nhất.

Quy trình tạo hình lợi
Một số câu hỏi thường gặp khi tạo hình lợi
1. Phẫu thuật nướu có đau không?
- Trước khi tiến hành phẫu thuật, bác sĩ sẽ tiến hành tiêm tê, thế nên khách hàng sẽ không cảm thấy đau nhức hay có bất cứ khó chịu nào trong quá trình thực hiện.
- Ngoài ra, khách hàng cần đến các nha khoa uy tín, bác sĩ có trình độ tay nghề cao để thực hiện, tránh tình trạng “tiền mất tật mang” khi ham rẻ mà sử dụng dịch vụ tại các nha khoa không uy tín.
2. Phẫu thuật nướu có ảnh hưởng gì không?
Phẫu thuật nướu được xem là tiểu phẫu, thủ thuật cũng khá đơn giản. Chính vì thế, phẫu thuật nướu sẽ không hề ảnh hưởng gì đến sức khỏe. Không những thế, chúng còn giúp răng miệng trở nên khỏe hơn, mang lại nụ cười hài hòa hơn, rạng rỡ hơn.
3. Phẫu thuật nướu có làm răng bị yếu đi?
Bạn có thể yên tâm là phẫu thuật tạo hình nướu là một kỹ thuật nha khoa an toàn, ứng dụng trang thiết bị hiện đại nên hoàn toàn không ảnh hưởng đến cấu trúc răng thật. Sau phẫu thuật, răng vẫn chắc khỏe như lúc ban đầu.

Trước và sau khi tạo hình lợi
Những lưu ý sau khi phẫu thuật tạo hình lợi
1. Thời gian cần để phẫu thuật cười hở lợi lành lại:
Thời gian hồi phục phụ thuộc vào nhiều yếu tố khác nhau: Mức độ nặng, nhẹ của cuộc phẫu thuật, việc chăm sóc răng miệng sau phẫu thuật, kỹ thuật của bác sĩ Tuy nhiên, thời gian hồi phục được tính toán tương đối như sau:
- Từ sau 3 – 4 ngày kể từ khi phẫu thuật: Hàm của bạn sẽ có dấu hiệu sưng nhẹ và hơi đau. Tuy nhiên, bạn chỉ cần uống thuốc theo chỉ định của bác sĩ là được. Ngoài ra còn có thể chườm đá để giảm đau hiệu quả.
- Sau 5 – 7 ngày: Hàm của bạn sẽ không bị sưng nữa. Đồng thời các mô mềm sẽ được lành lại.
- Tiếp đó, sau 10 ngày: bạn sẽ được bình phục gần như hoàn toàn. Tuy nhiên, trong thời gian này, bạn không nên ăn những đồ ăn có độ cứng cao. Vì vậy, nên ăn những thực phẩm mềm, lỏng.
- Sau 1.5 tháng đến 2 tháng thì vết thương sau phẫu thuật có thể hoàn toàn bình phục lại như trước đó.
2. Chế độ ăn sau khi điều trị
Chế độ ăn uống sau khi điều trị đóng vai trò vô cùng quan trọng. Dưới đây là gợi ý cho các bạn về chế độ ăn uống.
Những đồ nên kiêng:
- Những đồ ăn có tính nóng như xôi và thịt gà nên tránh. Nếu không vết thương sẽ lâu lành và có thể để lại sẹo.
- Những đồ ăn cứng cũng nên tránh.
- Đồ tanh như trứng, hải sản… là loại thực phẩm nên tránh vì nó sẽ gây hiện tượng ngứa, khó chịu và dễ dị ứng cho vết thương.
Những thực phẩm nên ăn:
- Các loại thực phẩm lỏng và các loại đồ ăn mềm
- Uống nhiều nước lọc, không uống các loại nước có gas
- Ăn nhiều rau xanh và hoa quả để bổ sung các loại vitamin và khoáng chất.
3. Cách chăm sóc răng miệng sau khi điều trị cười hở lợi
- Khi đã được chữa trị cười bị hở lợi, các bạn sẽ được bác sĩ chuyên khoa dặn dò và hướng dẫn chế độ chăm sóc vệ sinh răng miệng hậu điều trị. Các bạn cần thực hiện theo đúng hướng dẫn của bác sĩ một cách cẩn thận và kỹ lưỡng.
- Để chống viêm, bạn cần uống thuốc kháng sinh, chống phù nề từ 5-7 ngày theo những chỉ thị của bác sĩ chuyên khoa.
- Chăm sóc, vệ sinh răng miệng sạch sẽ nhẹ nhàng.
- Tránh hoạt động mạnh, ăn đồ ăn cứng trong tuần đầu tiên.
- Khám lại theo lịch hẹn, hướng dẫn của bác sĩ.

Để có khuôn miệng đẹp bạn cần nghe theo chỉ dẫn của bác sĩ
Tại sao nên chọn Nha khoa Tuấn Vân?
Là nha khoa thành lập từ năm 1998, không ngừng phấn đấu và phát triển ứng dụng thành công hệ thống công nghệ gây tân tiến. Nha khoa Tuấn Vân hiện đang là lựa chọn của gần 30.000 khách hàng mỗi năm, trong đó rất nhiều các khách hàng cũ giới thiệu khách hàng mới. Lựa chọn điều trị các bệnh lý và thẩm mỹ về răng tại Nha khoa Tuấn Vân - 67A Hàng Cót, khách hàng sẽ có thêm nhiều lợi thế:
- Được chăm sóc bởi đội ngũ Y bác sĩ chuyên môn cao, có trên 15 năm kinh nghiệm, đã thực hiện thành công hàng nghìn ca điều trị răng phức tạp
- Công nghệ điều trị tân tiến, hiệu quả cao
- Trang thiết bị hiện đại, được chuyển giao trực tiếp từ Châu Âu
- Quy trình thực hiện đạt chuẩn quốc tế
- Chi phí hợp lý, phù hợp với nhiều đối tượng khách hàng
ĐĂNG KÝ NHẬN TƯ VẤN TỪ BÁC SĨ
Nếu bạn đang quan tâm đến dịch vụ tạo hình lợi hoặc các vấn đề khác về răng miệng mà vẫn chưa biết được loại nào phù hợp với mình và gia đình, bạn lo lắng về giá và thời gian làm hàm tháo lắp mất bao lâu thì nên đến trực tiếp Nha khoa Tuấn Vân - 67A Hàng Cót để được bác sĩ khám, và tư vấn miễn phí 100%.
Hãy liên hệ ngay với chúng tôi qua số Hotline 0856 983 069 để được tư vấn thêm những thắc mắc của bạn.