HÀN RĂNG (TRÁM RĂNG)
Hàn răng còn được nhiều người biết đến với cái tên là trám răng. Đây là phương pháp quen thuộc trong nha khoa, sử dụng vật liệu nhân tạo nhằm che lấp các phần mô răng bị thiếu (do sâu răng, mất răng, sứt răng…) Đây là phương pháp phổ biến được áp dụng nhằm mục đích bảo vệ răng khỏi vi khuẩn xâm nhập và đảm bảo tính thẩm mỹ.
Phương pháp này tuyệt đối an toàn đối với sức khỏe răng miệng của bệnh nhân. Quá trình thực hiện hoàn toàn không làm cho cấu trúc của răng bị ảnh hưởng, không làm tổn hại đến men răng và cũng không cần mài răng.

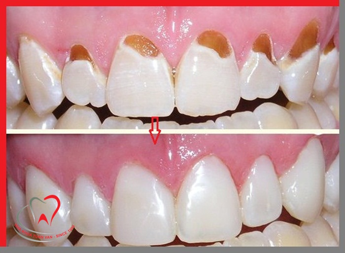
Trước và sau khi hàn răng
Những ai nên hàn răng?
Những trường hợp sau đây thường sử dụng đến phương pháp trám răng:
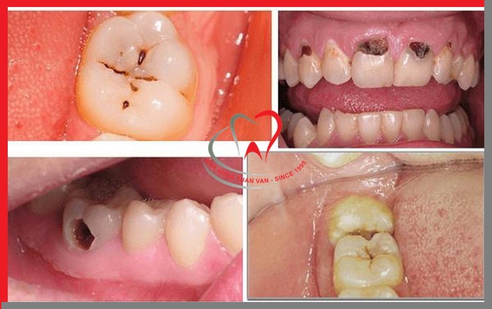
- Sâu răng: Những lỗ sâu rộng trên răng do vi khuẩn đục khoét. Có khả năng phá hoại tủy răng và lây lan sang những răng khác. Để tránh tình trạng này, làm sạch hốc răng bị sâu. Kết hợp hàn răng bằng vật liệu nha khoa thích hợp là phương pháp tối ưu nhất.

Răng bị sâu
- Mòn răng: Nếu đánh răng quá mạnh bằng bàn chải có lông cứng thì men răng ở cổ răng sẽ bị hao mòn dần. Khi đó sẽ làm lộ lớp ngà răng. Răng sẽ trở nên rất nhạy cảm với những đồ ăn uống nóng hoặc lạnh, đôi khi gây cảm giác ê buốt cho răng.

Răng bị mòn
- Răng bị chấn thương: Những tai nạn bất ngờ khiến cho răng của bạn bị sứt mẻ, vỡ hoặc gãy và không còn được chắc chắn như trước. Chức năng của răng cũng vì thế mà bị suy giảm. Sau khi hàn trám, răng sẽ được tái tạo lại hình dáng ban đầu. Đảm bảo thực hiện tốt chức năng nhai, cắn của cũng như thẩm mỹ của răng.

Hàn răng bị sứt mẻ
- Khiếm khuyết thẩm mỹ của răng: Răng có thể có khuyết điểm bẩm sinh. Ví dụ, khoảng cách giữa các răng quá rộng, kẽ răng thưa hoặc răng bị các tác nhân bên ngoài tác động làm cho răng bị đổi màu. Chất liệu hàn composite là lựa chọn tốt nhất giúp bạn khắc phục được nhu cầu thẩm mỹ của răng.

Răng thưa
Các loại vật liệu hàn răng
Để lựa chọn được các chất liệu hàn trám răng phù hợp, bạn nên tìm hiểu thật kỹ, so sánh ưu nhược điểm và cân nhắc với nhu cầu và điều kiện của bản thân. Dưới đây là 5 chất liệu hàn răng phổ biến nhất tại Nha khoa Tuấn Vân:
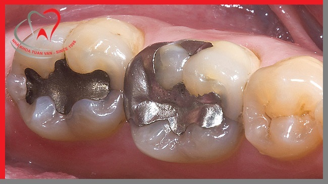
1. Vật liệu trám răng Amalgam
Đây là một hợp kim bao gồm bạc, đồng, thiếc, thuỷ ngân… Loại vật liệu này còn được gọi là trám bạc bởi màu sắc của nó gần giống với màu sắc của bạn. Khi trám răng chó các răng ở bên trong, ví dụ như răng tiền cối, răng tiền cối thì người ta sẽ lựa chọn chất liệu này.
+ Ưu điểm:
- Tuổi thọ dài, bền. Có thể từ 10 đến 15 năm, nếu biết cách chăm sóc tốt có thể dài hơn.
- Độ cứng tốt: Vì vậy có thể nhai và chịu được lực khá mạnh.
- So với các vật liệu hàn răng khác thì Amalgam có chi phí thấp hơn.
+ Nhược điểm:
- Vật liệu trám răng này không mang lại hiệu quả thẩm mỹ tốt. Màu sắc không giống với màu sắc tự nhiên. Chính vì vậy, nó không được sử dụng nhiều cho các trường hợp hàn trám răng cửa hoặc răng nanh.
- Loại vật liệu này có thể bị đổi màu, điều đó tạo ra màu xám cho cấu trúc của các răng xung quanh.
- Một số người bị dị ứng với thuỷ ngân. Vì vậy không phải ai cũng sử dụng được với loại vật liệu này.

Vật liệu trám răng Amalgam
2. Vật liệu trám răng vàng và kim loại quý
- Để tăng thêm sự chắc chắn và bền cho miếng trám, nhiều người lựa chọn vật liệu trám bằng vàng và kim loại quý. Đây là hợp kim bằng vàng hoặc những kim loại như đồng, bạc.
- Loại chất liệu này có màu sắc chênh lệch rất lớn với răng thật nên thường được sử dụng cho răng hàm hoặc tiền hàm.
+ Ưu điểm:
- Độ cứng, độ bền cao. Tuổi thọ của nó là 10 đến 15 năm là ít nhất. Ngoài ra còn không bị ăn mòn.
- Khả năng chịu lực tốt. Vì vậy, có thể hoàn toàn ăn nhai bình thường.
- So với chất liệu Amalgam thì loại chất liệu này được đánh giá cao hơn.
+ Nhược điểm:
- Màu sắc của nó không trùng khớp với răng thật.
- Chi phí trám răng với chất liệu này khá cao.
- Thời gian trám răng nhiều và phức tạp hơn. Nếu lựa chọn chất liệu này, bạn phải đến nha khoa ít nhất là 2 lần.

Vật liệu hàn răng bằng vàng
3. Chất liệu hàn răng bằng xi măng
- Là một dạng hóa trùng hợp ra đời sau amalgam và được sử dụng rộng rãi trong những năm gần đây, dùng để trám các lỗ xoang lớn, có màu trắng đục.
- Loại chất liệu này ra đời sau chất liệu Amalgam. Hiện nay, nó được sử dụng rất rộng rãi và được ưa chuộng cho những lỗ trám lớn. Và nó có màu trắng đục.
+ Ưu điểm:
- Chi phí đối với loại hàm răng này khá rẻ và rất dễ sử dụng.
- Màu sắc tương đối giống với răng thật.
- Chất liệu này có chứa flour. Vì vậy nó có khả năng chống lại hiện tượng sâu răng.
- Ít bị bong tróc sau khi trám do nó bám rất chắc vào bề mặt răng.
+ Nhược điểm:
- Nhược điểm duy nhất của loại chất liệu này là khả năng chịu lực thấp. Bên cạnh đó còn dễ bị mòn. Vì vậy, nó chỉ được lựa chọn để hàn cổ răng. Đây là vị trí ít phải chịu các lực nhai hay ngoại lực nhất.

Vật liệu hàn răng bằng xi-măng
4. Vật liệu trám răng Composite
Đây là loại chất liệu trám răng mới nhất và nó được sử dụng nhiều nhất trong những năm gần đây. Composite có nhiều tính năng tốt, ưu việt và hơn hẳn so với loại chất liệu xi măng và Amalgam. Nó còn được gọi là trám răng thẩm mỹ.
+ Ưu điểm:
- Composite có tính thẩm mỹ rất cao và màu răng rất giống răng tự nhiên.
- Xét về độ cứng, độ chịu lực thì rất tốt. Và nó tốt hơn chất liệu xi măng.
- Với chất liệu này thì thời gian này trám chỉ 1 lần hẹn.
+ Nhược điểm:
- Loại chất liệu này có chi phí khá cao.
- Sau vài năm sử dụng thì miếng trám có thể bị xỉn màu.
- Không được ăn các đồ cứng vì loại chất liệu này chỉ chịu được lực nhất định.

Trám răng Composite
5. Hàn răng bằng Inlay/Onlay
Đây là một kỹ thuật phục hình thẩm mỹ cho răng hiệu quả sử dụng một miếng trám bằng chất liệu sứ nha khoa cao cấp.
+ Ưu điểm:
- Tính thẩm mỹ cao
- Bền và chịu lực rất tốt
- Không dễ bị đổi màu
+ Nhược điểm:
- Chi phi cao
- Quá trình thực hiện phức tạp
- Mất nhiều thời gian thực hiện

Hàn răng Inlay/Onlay
Quy trình hàn răng tại Nha khoa Tuấn Vân
Quy trình thực hiện trám răng tại Nha khoa Tuấn Vân được diễn ra theo đúng quy chuẩn quốc tế và thực hiện rất chính xác. Quá trình hàn răng được tiến hành qua các bước:
- Bước 1: Thăm khám và tư vấn: Trước hết, các nha sĩ sẽ khám, kiểm tra vị trí răng cần trám. Các nha sĩ sẽ xác định nguyên nhân phải trám răng, kích thước. Sau đó thì tư vấn để bạn lựa chọn loại vật liệu hàn răng phù hợp.
- Bước 2: Gây tê và vệ sinh vùng răng cần trám: Nha sĩ sẽ tiến hành gây tê cục bộ tại vị trí răng cần được trám. Đối với những trường hợp hàn răng sâu, các bác sĩ sẽ làm sạch vùng sâu răng, loại bỏ cao răng và các vụn thức ăn còn sót lại.
- Bước 3: Cách ly răng cần trám bằng đế cao su và chuẩn bị bề mặt răng cần trám.
- Bước 4: Tiến hành trám răng: Nha sĩ sẽ tiến hành đưa vật liệu trám lên phần răng bị sâu hoặc đổ vào khoang trám. Khi mới được đưa vào vị trí, vật liệu trám này là dạng lỏng. Sau đó sẽ chiếu laser để chất liệu trám đông cứng lại sau 40 giây.
- Bước 5: Chỉnh sửa lại vị trí trám: Nha sĩ sẽ điều chỉnh lại vùng trám răng vừa thực hiện. Loại bỏ các vật liệu hàn răng bị dư thừa. Cuối cùng thì làm nhẵn lại vùng trám răng và đánh bóng.
- Bước 6: Kiểm tra lại kết quả trám răng. Đồng thời bác sĩ sẽ tư vấn những vấn đề bạn cần phải lưu ý sau khi hàn răng. Ngoài ra, có những trường hợp sẽ được hẹn lịch tái khám nếu cần thiết.
Lưu ý sau khi hàn răng
Sau khi trám răng, chế độ ăn uống cũng như sinh hoạt, chăm sóc răng miệng đóng vai trò vô cùng quan trọng. Nó sẽ giúp cho răng nhanh chóng trở lại bình thường cũng như hạn chế vi khuẩn xâm nhập lại. Dưới đây là những điều bạn cần phải ghi nhớ:
- Không nên ăn uống trong 2h đầu: Sau khi thực hiện trám răng, các vật liệu trám cũng cần có thời gian đông đặc và khô hoàn toàn. Chính vì vậy sau khi thực hiện xong bạn cần tránh ăn trong khoảng thời gian này để chất trám được liên kết chặt chẽ và bền vững nhất với các mô răng.
- Hạn chế nhai những đồ ăn cứng ở vùng răng trám: Khi ăn thức ăn quá cứng sẽ phải dùng lực để nhai và nghiền nhỏ thức ăn. Chất trám không thể thay thế được men và ngà nên rất dễ bong nếu bệnh nhân có thói quen ăn thức ăn quá cứng.
- Không nên ăn thức ăn có nhiệt độ quá cao hoặc thấp sẽ gây ảnh hưởng cho miếng trám
- Vệ sinh răng miệng thường xuyên
- Không sử dụng các vật nhọn như tăm xỉa răng sẽ làm bung miếng trám
Tại sao bạn nên chọn Nha khoa Tuấn Vân?
Là nha khoa thành lập từ năm 1998, không ngừng phấn đấu và phát triển ứng dụng thành công hệ thống công nghệ gây tân tiến, giúp kiểm soát và giảm nhanh cơn đau trong quá trình thực hiện. Nha khoa Tuấn Vân hiện đang là lựa chọn của gần 30.000 khách hàng mỗi năm, trong đó rất nhiều các khách hàng cũ giới thiệu khách hàng mới. Lựa chọn điều trị các bệnh lý về răng tại Nha khoa Tuấn Vân - 67A Hàng Cót, khách hàng sẽ có thêm nhiều lợi thế:
- Đội ngũ y bác sĩ chuyên sâu về nha khoa, đã thực hiện thành công hàng nghìn ca điều trị răng phức tạp
- Công nghệ điều trị tân tiến, hiệu quả cao
- Trang thiết bị hiện đại, được chuyển giao trực tiếp từ Châu Âu
- Quy trình thực hiện đạt chuẩn quốc tế
- Chi phí hợp lý, phù hợp với nhiều đối tượng khách hàng
ĐĂNG KÝ NHẬN TƯ VẤN TỪ BÁC SĨ
Nếu bạn đang quan tâm đến dịch vụ hàn trám răng hoặc các vấn đề khác về răng miệng mà vẫn chưa biết được loại nào phù hợp với mình, bạn lo lắng về giá và thời gian làm hàm tháo lắp mất bao lâu thì nên đến trực tiếp Nha khoa Tuấn Vân để được bác sĩ khám, và tư vấn miễn phí 100%. Hãy liên hệ ngay với chúng tôi qua số Hotline 0856 983 069 để được tư vấn thêm những thắc mắc của bạn.