Tại sao phải lấy cao răng?
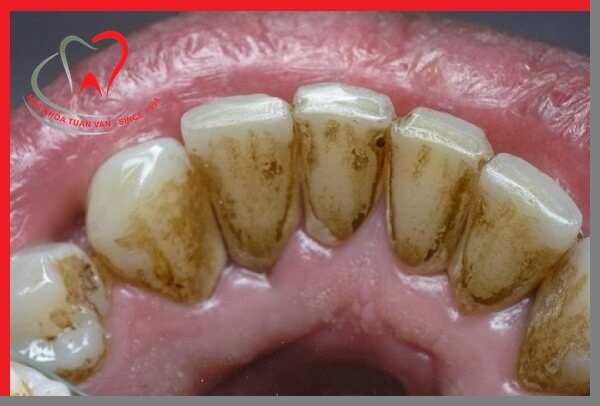
Cao răng là một chất lắng cặn cứng của các muối vô cơ gồm canxi carbonat và phosphate phối hợp với cặn mềm (mảnh vụn thức ăn, các chất khoáng trong môi trường miệng), vi khuẩn, xác các tế bào biểu mô, sự lắng đọng sắt của huyết thanh, bám rất chắc vào bề mặt răng hoặc dưới bờ lợi (còn gọi là vôi răng).
Cao răng có hai loại: cao răng thường và cao răng huyết thanh. Cao răng thường như đã mô tả ở trên. Khi cao răng thường gây viêm lợi, lợi ở vùng viêm sẽ tiết dịch viêm và chảy máu, máu ngấm vào cao răng thường tạo nên màu nâu đỏ, lúc này mảng cao răng đó được gọi là cao răng huyết thanh.

Cao răng gây nhiều biến chứng nguy hiểm
Tại sao phải lấy cao răng?
Cao răng có thể dẫn đến các bệnh như viêm lợi với các biểu hiện đánh răng chảy máu, miệng có mùi hôi. Cao răng cũng có thể gây viêm nha chu dẫn đến tiêu xương làm răng bị đau, ê buốt khi ăn uống, nặng hơn có thể gây lung lay và rụng răng. Ngoài ra, cao răng còn gây ra viêm tủy ngược dòng. Vi khuẩn trong mảng cao răng cũng là một trong những nguyên nhân gây ra các bệnh ở niêm mạc miệng (viêm niêm mạc miệng, áp-tơ mà dân gian vẫn gọi là bệnh lở miệng), bệnh ở vùng mũi họng (viêm amidan, viêm họng), bệnh tim mạch.
Có nhiều lý do để phải lấy cao răng.
- Thứ nhất, độc tố của vi khuẩn trong mảng cao răng gây ra viêm. Từ phản ứng viêm này gây ra hiện tượng tiêu xương ở răng làm cho lợi mất chỗ bám dẫn đến càng ngày răng càng dài, để lộ ra vùng xương răng không được tổ chức quanh răng bảo vệ. Bệnh nhân sẽ thấy xuất hiện cảm giác ê buốt khó chịu.
- Thứ hai, chiều dài chân răng là không thay đổi, nên khi xương càng tiêu nhiều thì độ dài chân răng nằm trong xương càng ngắn lại dẫn đến răng lung lay và quá trình tiêu xương càng diễn ra nhanh hơn.
- Thứ ba, tiêu xương sinh lý là quá trình không thể tránh khỏi theo thời gian và việc làm cho xương không bị tiêu là một việc không tưởng. Do đó, duy trì xương ở mức độ ổn định và vô cùng quan trọng.
Do những ảnh hưởng này mà cao răng cần được lấy sạch. Tốt nhất nên kiểm tra các mảng bám răng định kỳ 3 – 6 tháng/lần.
Không nên đợi có cao răng mới đi lấy, vì khi cao răng hình thành thì đã gây ra tổn thương và để lại hậu quả.