Tác hại và phương pháp khắc phục tật đẩy lưỡi
Tật đẩy lưỡi bẩm sinh là một thói quen xấu, có thể gây ra nhiều hậu quả nghiêm trọng về răng, khớp cắn và phát âm ở trẻ em. Với người lớn, tật đẩy lưỡi có thể gây hô, thưa răng cửa. Tuy nhiên, nếu phát hiện và loại bỏ sớm thói quen xấu này, bệnh nhân có thể tránh được nguy cơ bị lệch lạc răng - hàm trong tương lai.

1. Tật đẩy lưỡi là gì?
Bình thường, lưỡi của mỗi người đều nằm hoàn toàn trong khoang miệng. Lưỡi sẽ không gây lực đẩy lên các răng. Tuy nhiên, nếu lưỡi đặt vào giữa răng hàm trên - hàm dưới, lưỡi sai tư thế, lưỡi đẩy vào gót răng cửa hàm trên trong khi nuốt hoặc ở trạng thái nghỉ thì có thể gây nhiều ảnh hưởng tiêu cực về thẩm mỹ và chức năng trên bộ răng. Tỷ lệ trẻ em bị tật đẩy lưỡi khá cao, lên tới 60 - 90%.
Người bình thường có động tác nuốt khoảng 1.000 - 2.000 lần/ngày. Mỗi lần nuốt tạo ra lực đẩy khoảng 1.800g. Nếu lực đẩy này tác động lâu dài lên răng thì sẽ khiến răng bị lệch lạc với mức độ từ trung bình đến nặng. Dấu hiệu dễ nhận thấy nhất ở người mắc tật đẩy lưỡi nặng là gây cắn hở, thưa răng.
2. Nguyên nhân gây tật đẩy lưỡi
Nhìn chung, có thể phân biệt 2 nhóm nguyên nhân gây tật đẩy lưỡi: Đẩy lưỡi tiên phát và đẩy lưỡi thứ phát. Cụ thể:
a. Đẩy lưỡi tiên phát
Đẩy lưỡi tiên phát do rối loạn thần kinh cơ - đặc trưng ở tình trạng trẻ không thay đổi thói quen nuốt từ lúc sơ sinh. Khi yêu cầu đưa đầu lưỡi chạm lên vòm miệng, bệnh nhân không thể đưa lên được hoặc thực hiện rất khó khăn;
b. Đẩy lưỡi thứ phát
Có liên quan đến các lệch lạc răng hàm và mắc các bệnh lý ở vùng miệng hoặc tai - mũi - họng. Đó là:
- Hậu quả của tình trạng mút ngón tay, mút núm vú giả hoặc bú bình;
- Mất răng sữa sớm (đặc biệt là nhóm răng cửa) khiến lưỡi có xu hướng bít kín khoảng trống còn lại;
- Dị ứng hoặc tình trạng viêm nhiễm gây tắc nghẽn đường mũi, thở miệng do lưỡi bị đặt ở tư thế thấp trong miệng;
- Lưỡi to bất thường;
- Viêm VA, amidan sưng to, viêm họng gây khó nuốt;
- Yếu tố di truyền (hàm dưới quá dốc);
- Chấn thương tâm lý, stress;
- Phanh lưỡi ngắn (lưỡi dính).
Thực tế lâm sàng, có nhiều trường hợp cũng khó phân biệt giữa đẩy lưỡi tiên phát và đẩy lưỡi thứ phát.
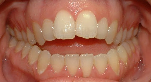
3. Hậu quả của tật đẩy lưỡi
Đẩy lưỡi có thể gây ra tình trạng khớp cắn hở, hô cả 2 hàm, ảnh hưởng khá nhiều tới thẩm mỹ và chức năng của bộ răng. Mức độ ảnh hưởng cũng phụ thuộc vào thời gian, tần suất đẩy lưỡi. Có nhiều hình thái đẩy lưỡi khác nhau, gây ra những lệch lạc răng - hàm như:
- Cắn hở phía trước: Đây là kiểu điển hình, hay gặp nhất. Cắn hở là tình trạng khi đóng hàm tối đa mà hàm trên và hàm dưới không thể cắn khít với nhau. Ở tư thế nghỉ (đọc sách, xem tivi,...) môi không khép chặt, miệng mở và lưỡi đẩy ra phía trước. Cắn hở là do lưỡi đặt vào giữa răng cửa trên và dưới, cản trở các răng mọc lên bình thường. Người bị cắn hở thường gặp một số khó khăn khi phát âm, có thể bị thở miệng, mút ngón tay kết hợp. Kiểu đẩy lưỡi này thường gặp ở những trẻ có lưỡi to bất thường;
- Đẩy lưỡi phía trước: Răng cửa trên nhô ra phía trước, răng cửa dưới ngả vào trong (do cường cơ cằm);
- Đẩy lưỡi 1 bên: Có khớp cắn hở 1 bên;
- Đẩy lưỡi 2 bên: Khớp cắn phía trước đóng, các răng phía sau (từ răng tiền hàm đầu tiên tới răng hàm cuối cùng) bị cắn hở cả 2 bên. Đây là kiểu đẩy lưỡi khó khắc phục, khó điều trị;
- Đẩy lưỡi cắn khít: Các răng phía trước ở hàm trên và hàm dưới đều bị nghiêng ra phía trước, thưa nhau.
.jpg)
Một tác hại của tật đẩy lưỡi
4. Các cách loại bỏ thói quen đẩy lưỡi
Có 2 cách để loại bỏ tật đẩy lưỡi. Đó là:
- Sử dụng các khí cụ trong miệng: Là phương pháp điều trị chuyên khoa do các nha sĩ chỉ định. Các khí cụ phổ biến là hàng rào chặn lưỡi, nút chặn lưỡi (dạng viên bi), thanh khẩu cái hỗ trợ tập lưỡi,...;
- Luyện tập thói quen răng miệng đúng: Là bài tập thay đổi kiểu nuốt giúp rèn luyện các cơ, kết hợp với phản xạ nuốt. Tỷ lệ thành công của phương pháp tập luyện này khá cao. Tuy nhiên, để đạt hiệu quả, cần sử dụng các khí cụ hỗ trợ trong miệng để tập luyện. Do đó, khi điều trị tật đẩy lưỡi, thường kết hợp cả 2 phương pháp trên.
Để điều chỉnh thói quen đẩy lưỡi, mỗi người cần chú ý tập lưỡi cho trẻ từ khi trẻ được khoảng 8 tuổi. Các động tác như sau:
- Đặt đầu lưỡi chạm vào mặt trong của lợi (ngay phía sau răng cửa hàm trên);
- Cắn 2 hàm lại;
- Nuốt nhưng căn chỉnh sao cho lưỡi không chạm vào các răng cửa. Động tác đúng: Lưỡi đi lên phía vòm họng.
Coi 3 động tác trên là 3 nhịp đếm, đếm 1 - 2 - 3, thực hiện trong cả ngày. Khi đã thành thục, có thể tập với một chút đồ ăn hoặc nước lọc. Điều quan trọng nhất là phải thật kiên nhẫn để đẩy lùi tật đẩy lưỡi. Về tần suất thực hiện, nên tập 2 lần/ngày, mỗi lần khoảng 5 phút. Chúng ta có thể quan sát hiệu quả tập luyện bằng cách dùng ngón tay giữ 2 môi mở trước gương, khi nuốt quan sát lưỡi không đẩy vào răng là đạt yêu cầu.
Với trường hợp bị đẩy lưỡi ở tư thế nghỉ sẽ cảm thấy lưỡi chạm vào răng chứ không phải vào lợi. Bài tập khuyến cáo là đặt đầu lưỡi lên vòm họng, bật thành các tiếng “tặc” “tặc” liên tục. Mỗi lần phát hiện lưỡi đẩy vào răng, đều có thể tập luyện. Bài tập này giúp giảm hô cho người bị lưỡi to kết hợp với tật đẩy lưỡi. Với trẻ em, phụ huynh có thể biến đổi bài tập bằng cách yêu cầu trẻ phát âm các chữ D, T, K, L,... hoặc tập các bài hát đơn âm theo hướng dẫn của bác sĩ.
Tật đẩy lưỡi có thể gây sai lệch về khớp cắn, những lệch lạc về răng và hàm mặt, ảnh hưởng tới thẩm mỹ. Vì vậy, cần phát hiện, can thiệp điều trị sớm để thay đổi thói quen xấu này của bệnh nhân.
Để đăng ký khám, Quý Khách vui lòng bấm số HOTLINE: 088.616.2240 hoặc đăng ký lịch trực tuyến TẠI ĐÂY.