Những "cỗ máy' mài răng nguy hiểm nhất
Men răng là lớp bảo vệ quan trọng nhất để chống mọi tác động từ bên ngoài và bảo vệ cho răng chắc, khoẻ. Tuy nhiên có rất nhiều nguyên nhân khiến cho lớp men bảo vệ bị mài mòn, phá huỷ dẫn tới hỏng răng. Hãy cẩn thận với những cỗ máy mài khủng khiếp này.
Trái cây, nước có ga ... “máy” mài số 1
Trái cây có vị chua, các loại nước có ga như cocacola, nước cam... đều có tính acid. Khi tiếp xúc với men răng, được cấu tạo chủ yếu từ canxi và hydroapatit sẽ làm mềm men răng và thúc đẩy quá trình mài mòn. Phần ngà răng nằm bên dưới lớp men vốn mềm hơn rất nhiều, không đủ sức chống chọi khiến cho răng càng dễ bị tác động mạnh hơn, dẫn tới các bệnh về răng và gây hỏng răng. Hoa quả tốt cho sức khoẻ nhưng nó lại chính là “cỗ máy” mài răng đáng sợ nếu chúng ta ăn quá nhiều quả chua và vệ sinh răng miệng không đúng cách.

Những đồ ăn uống gây hại cho men răng nhất
Ăn xong đánh răng ngay – “máy mài” số 2
Khi ăn, các axit trong thức ăn sẽ bám vào răng và làm mềm lớp men. Việc dùng bàn chải đánh răng ngay sẽ khiến lớp men đang bị mềm ra nhanh chóng bị mài mòn. Để khắc phục cỗ mày mài số 2 này, chỉ nên đánh răng sau khi ăn 30 phút. Đây là thời gian đủ để nước bọt trung hoà các aixt từ thức ăn tồn dư trong khoang miệng và bám trên bề mặt của răng.

Đánh răng ngay sau khi ăn tưởng có lợi mà thành có hại
Bệnh dạ dày – “máy mài” số 3
Bệnh dạ dày mãn tính là khá phổ biến ở Việt Nam. Cứ 100 người nội soi đường tiêu hoá thì có 64 là mắc bệnh dạ dày mãn tính. Báo cáo của Hội khoa học Tiêu hoá Việt Nam cảnh báo có tơi 70% người Việt Nam có nguy cơ đau dạ dày. Dịch vị dạ dày chứa axit clohydric là loại axit có thể làm tan canxi. Người đau dạ dày và hiện tượng trào ngược cũng là nguyên nhân đáng kể gây mòn men răng và hỏng răng.
Thiếu flour trong nước uống – “máy mài” số 4
Theo báo cáo của tổ chức y tế thế giới WHO, tại Việt Nam, rất nhiều vùng có nguồn nước dùng cho ăn uống có hàm lượng flour thấp chỉ đạt 0,3 ppm. Trong khi theo khuyến cáo của WHO, hàm lượng flour phải đạt ở mức 0,7 - 1ppm mới đảm bảo cho sử dụng. Chưa kể miền núi hay cùng sâu, ngay Hà Nội, nguồn nước cho sử dụng cũng không đạt tiêu chuẩn về flour.
Fluor là vi chất dinh dưỡng tham gia vào quá trình phát triển răng, tạo ngà răng và men răng. Fluor còn giữ vai trò quan trọng trong quá trình tạo xương và có ảnh hưởng đến sự điều hòa chuyển hóa canxiphotpho. Trong cơ thể lượng fluor tập trung cao nhất ở xương và răng. Quá trình tích chứa fluor ở răng xảy ra lúc còn bé, trong thời kỳ hình thành và phát triển các răng vĩnh viễn.
Khảo sát thực tế cho thấy, những vùng nguồn nước thiếu flour thì tỷ lệ sâu răng luôn rất cao.
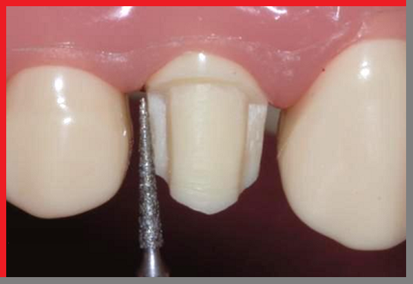
Mài răng thẩm mỹ - “máy mài” số 5
Ngày nay, việc mài răng để thay răng sứ thẩm mỹ đã trở nên khá phổ biến. Công nghệ mài cũng như thiết bị hiện đại giúp người ta có thể dễ dàng có được hàm răng đẹp như ý. Tuy nhiên, đa phần các giải pháp thay răng sứ thẩm mỹ đều phải mài nhỏ răng thật để lấy chỗ cho răng giả.
.png)
Mài răng làm thẩm mỹ