Mòn răng: Nguyên nhân, cách điều trị và phòng ngừa
Mòn răng là hiện tượng khá phổ biến, biểu hiện của tình trạng này rất dễ nhận biết là cổ răng bị khuyết, bề mặt răng bị mòn. Bạn sẽ thấy ê buốt khi ăn thức ăn chua, nóng hoặc quá lạnh.

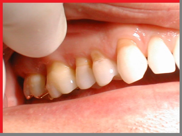
Mòn cổ răng
Mòn men răng là kết quả của việc răng bị mài mòn các bề mặt răng tiếp xúc đối diện nhau hoặc sự ăn mòn ở thân răng, kẽ răng do tiếp xúc với môi trường bên ngoài. Sự mài mòn do tiếp xúc có thể ảnh hưởng đến cấu tạo của răng, rìa cắn và giảm diện tích bề mặt răng.
Triệu chứng của mòn răng
Răng bị mài mòn là hiện tượng khá phổ biến, biểu hiện rất dễ nhận biết là cổ răng bị khuyết, lõm vào trong có hình chữ V, hay gặp ở vùng răng trước. Mòn răng không chỉ bắt gặp ở cổ răng mà còn ở những mặt nhai của răng.
Răng nhạy cảm; răng đổi màu; mất răng đặc điểm về hình dạng, các cạnh tròn hay nhọn, răng bị sứt mẻ; điểm tiếp xúc mặt bên thay đổi khi răng giảm chiều cao; các răng cửa cạnh nhau có cùng chiều cao; men răng hàm mỏng và phẳng; có thể làm răng nghiêng trục. Bạn sẽ thấy ê buốt răng khi ăn thức ăn chua, nóng hoặc quá lạnh, thức ăn sẽ đọng lại nơi bị khuyết, gây mất thẩm mỹ và dễ gây sâu răng.
.jpg)
Dấu hiệu nhận biết răng bị mòn
Để phát hiện tình trạng mòn răng cơ học hay hóa học, bạn nên đến nha khoa uy tín để kiểm tra. Thông thường, răng bị mòn sẽ xuất hiện kèm theo hiện tượng nhạy cảm với nhiệt độ hoặc thức ăn ngọt. Đầu tiên nha sĩ sẽ tìm ra nguyên nhân từ đó mới có phương pháp điều trị cần thiết để chấm dứt các triệu chứng.
- Thông thường, răng hàm có thể bị mòn ở các hố rãnh mặt nhai hoặc mặt trong, ngoài. Mặt nhai thường mòn tạo hình chén hoặc miệng núi lửa, khi mòn nhiều thì ở giữa thường có màu vàng sẫm (màu ngà răng) xung quanh có viền trong (bờ men răng).
- Răng cửa hay mòn ở rìa cắn do thói quen cắn đá lạnh, nắp chai, các loại vật cứng. Mòn ở mặt trong răng thường gặp do tiếp xúc với bụi hoặc hơi nước có axít.
- Cổ răng cửa và răng hàm có thể bị mòn thành khía rãnh có hình chữ V ở mặt ngoài, gây nên ê buốt và có thể gây viêm tủy răng. Đối với người dùng bàn chải điện, cũng có kiểu mòn răng điển hình, có khuyết hình tròn trên bề mặt răng do không di chuyển bàn chải đến các vị trí trong quá trình chải răng.
Nguyên nhân dẫn đến tình trạng mòn men răng
Mòn răng bắt đầu từ mòn men răng rồi đến ngà răng rồi lộ tủy răng bên trong. Men răng là một lớp vật chất rất cứng, có tác dụng bảo vệ các bộ phận mềm và dễ bị tổn thương (ngà răng, tủy răng..). Sau khi men răng bị mòn thì thời gian mòn răng diễn biến nhanh hơn do ngà răng không cứng chắc bằng.
Mòn men răng thường là do các nguyên nhân:
- Các axit trong thực phẩm, đồ ăn thức uống hàng ngày từ từ bào mòn men răng.
- Chứng trào ngược dạ dày: gây mòn mặt trong của răng cửa trên.
- Tật nghiến răng khi ngủ gây mòn mặt nhai của răng hàm.
- Các thói quen xấu: cắn móng tay, nhai vật cứng,… có thể làm vỡ hoặc rạn men răng.
- Nếu bạn uống ít nước hoặc mắc các bệnh lý dẫn đến khô miệng. Khi đó, nước bọt tiết ra ít khiến acid bám trên răng lâu hơn, tăng nguy cơ mòn răng lên gấp nhiều lần.
- Các yếu tố di truyền có thể ảnh hưởng đến số lượng hoặc chất lượng men răng, khiến men răng bở và dễ mòn hơn.
- Vệ sinh răng miệng không đúng cách: chải răng nhiều lần trong ngày, sử dụng bàn chải lông quá cứng, chải răng quá mạnh theo chiều ngang cũng có thể gây mòn cổ răng.
Điều trị tình trạng răng bị mài mòn
Khi thấy xuất hiện một vết khuyết trên răng, cảm thấy ê nhức răng thì hãy nói cho bác sĩ nha khoa. Vấn đề được phát hiện sớm, tổn thương sẽ được ngăn chặn. Điều trị mòn răng tùy thuộc vào tình trạng tổn thương mô răng.
1. Trường hợp mòn răng nhẹ
Nếu là mòn nông, không bị nhạy cảm, có thể không cần điều trị. Đối với những răng nhạy cảm, nha sĩ có thể khuyên bạn nên dùng kem fluor và nước súc miệng ở nhà.
Nếu răng cần trám răng, nha sĩ sẽ thay thế phần men răng biến mất bằng một vật liệu trám răng có màu giống với răng. Có hai loại vật liệu được dùng là Composite (miếng trám nhựa) và GIC (Glass Ionomer Cement). Đối với những răng mòn sâu có thể cần đến điều trị tủy răng hoặc nhổ bỏ.
Những điều trị phục hồi có thể thực hiện để cải thiện chức năng và thẩm mỹ đối với răng. Nếu nguyên nhân của quá trình mài mòn do thuốc đang sử dụng, bạn có thể được bác sĩ đa khoa hay bác sĩ gia đình tư vấn. Trong một số trường hợp, bác sĩ có thể cho toa thuốc khác hoặc thay đổi cách dùng để giảm nguy cơ làm mòn răng.
Tuy nhiên, nha sĩ sẽ không điều trị phục hình khi mà nguyên nhân gây bệnh vẫn còn tồn tại, chỉ có thể giúp hạn chế sự mài mòn. Ví dụ như nha sĩ sẽ trám một lớp nhựa Composite lên các răng, vai trò như một rào chắn ngăn chặn sự tiếp xúc giữa axit và răng.
2. Trường hợp mòn răng nặng
Trường hợp răng bị mòn quá nhiều, trám răng thông thường không có hiệu quả thì nha sĩ sẽ thực hiện phương án bọc răng sứ thẩm mỹ để bảo vệ phần răng thật bên trong.
Các bạn có thể yên tâm là thời gian điều trị bọc răng sứ cực kỳ ngắn chỉ trong vòng 2-3 ngày. Răng sứ mới được chế tạo bên ngoài dựa trên hình dạng khuôn răng sẵn có của bạn, màu sắc răng chọn theo yêu cầu nếu như bạn không biết màu sắc nào lên đẹp thì nha sĩ sẽ tư vấn cho bạn màu sắc phù hợp nhất.
Cách phòng ngừa bị mòn răng
Để phòng tránh mòn răng cơ học và mòn răng hóa học, các nha sĩ khuyên nên chú ý những điều sau:
- Đánh răng ít nhất 2 lần mỗi ngày, mỗi lần 2 phút, không chải răng quá mạnh.
- Dùng bàn chải có phần lông mềm và kem đánh răng có chứa fluor.
- Sau khi đánh răng, nên súc miệng lại với nước muối sinh lý loại bỏ vi khuẩn, mảng bám còn sót lại.
- Ngay sau khi tiếp xúc với thức ăn, nước uống có chứa axit, súc miệng bằng nước, sữa hoặc nước súc miệng có chứa fluor.
- Uống nhiều nước trong ngày, đặc biệt giữa các bữa ăn.
- Tránh hoặc giảm thiểu việc ăn uống có chứa axit. Hạn chế thức uống có chứa axit trong bữa ăn. Sau khi ăn nên súc miệng lại thật kỹ bằng nước sạch hoặc nước muối sinh lý, không cần chải răng quá nhiều lần trong ngày.
- Uống những thức uống có chứa axit bằng ống hút. Đặt ống hút vào sau các răng trước, khoảng giữa lưỡi.
- Sau khi ăn 30 phút hãy đánh răng để nước bọt giúp làm trung hòa men răng.
- Nhai kẹo cao su để tăng tiết nước bọt.
- Sử dụng chỉ nha khoa thay thế tăm xỉa răng.
- Nha sĩ có thể cho toa thuốc bao gồm các loại thuốc có chứa fluor, như kem fluor để bôi lên răng.
Mòn răng hoàn toàn có thể ngăn chặn được bằng cách thay đổi thói quen chăm sóc vệ sinh răng miệng hàng ngày và có chế độ dinh dưỡng hợp lý. Nếu có nhu cầu chữa trị mòn men răng nhanh chóng, thẩm mỹ hãy liên hệ ngay với chúng tôi qua Hotline: 0946 544 944 hoặc đến trực tiếp Trung tâm Răng Hà Nội - 117 Láng Hạ để được thăm khám và tư vấn hoàn tàn miễn phí.