Bệnh viêm nha chu có lây không?
Viêm nha chu là tình trạng các mô nha chu bị viêm nhiễm, gồm viêm lợi và viêm nha chu phá huỷ. Khi viêm nhiễm, các mô nha chu thường sưng đỏ, đau nhức. Về lâu dài, nướu không còn khả năng bám vào chân răng, tạo cơ hội để vi khuẩn xâm nhập, phát triển, phá huỷ xương ổ răng, hình thành các túi nha chu.
Nguyên nhân gây bệnh viêm nha chu
Bệnh nha chu ảnh hưởng nghiêm trọng đến chức năng ăn nhai của răng. Viêm nha chu lâu ngày có thể gây ra đau nhức dữ dội, hôi miệng, khiến người bệnh mất tự tin trong giao tiếp, ảnh hưởng đến công việc cũng như cuộc sống.

Bệnh viêm nha chu có lây không?
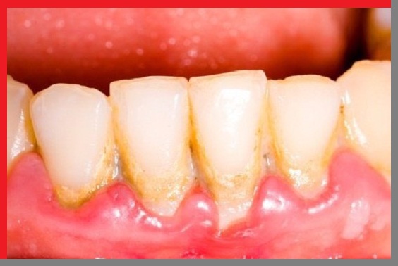
Bệnh viêm nha chu sẽ tiến triển theo theo 2 giai đoạn đó là viêm nướu răng và viêm nha chu. Trong đó, viêm nướu là giai đoạn đầu, sẽ có các biểu hiện như nướu răng bị sưng đỏ, mềm, dễ bị chảy máu... Do tình trạng bệnh diễn ra âm thầm, thường chỉ gây đau nhức khó chịu ít, mức độ nhẹ có thể tự hết nên rất ít người lưu ý tới.
Khi bệnh viêm nướu răng nặng hơn sẽ chuyển sang giai đoạn viêm nha chu. Những biểu hiện bệnh viêm nha chu sẽ nặng hơn, như tụt lợi, răng bị lung lay, tiêu xương ổ răng... và cần có biện pháp khắc phục càng sớm càng tốt để bảo tồn răng thật.
Cả trẻ em và người lớn đều có nguy cơ mắc bệnh viêm nha chu nên việc lo lắng viêm nha chu có lây không là điều dễ hiểu? Theo các chuyên gia, vi khuẩn gây viêm nha chu có thể lây lan qua đường nước bọt, vì vậy, nguy cơ lây lan bệnh lý này cho các thành viên trong gia đình, sinh hoạt chung với nhau là rất cao.
Chính vì vậy mà bất cứ ai khi gặp phải một trong những dấu hiệu của viêm nha chu mà ngay từ đầu là bệnh viêm nướu răng nên lưu ý để dành thời gian đến thăm khám để bác sĩ kiểm tra, từ đó cho chỉ định khắc phục phù hợp. Việc này vừa giúp bảo vệ sức khỏe răng miệng cho chính mình cũng tránh những ảnh hưởng tới sức khỏe răng miệng của người khác.

Viêm nha chu có thể lây lan qua đường nước bọt
Điều trị bệnh viêm nha chu
Ở những ngày đầu, viêm nha chu có thể được điều trị bằng cách cạo sạch vôi răng để loại bỏ môi trường sinh sống của vi khuẩn, kết hợp với thăm khám thường xuyên để nha sĩ theo dõi tình trạng răng miệng.
Nếu tình trạng viêm nha chu đã tiến triển nặng, hình thành các túi nha chu, bệnh nhân sẽ được chỉ định bít, trám tủy, ngăn chặn sự xâm nhập của vi khuẩn vào chân răng và tuỷ răng.
Giai đoạn viêm nha chu nặng, không thể bảo tồn răng thật được nữa, Bác sĩ sẽ được chỉ định nhổ và tiến hành phục hình răng đã mất bằng cấy ghép Implant hoặc cầu răng sứ để tránh ảnh hưởng đến những răng xung quanh.